Zahnarztpraxis Gielicke Gründau Lieblos

Teleskopprothesen

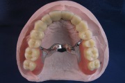
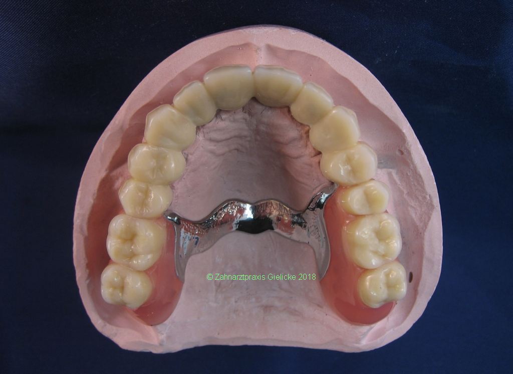
Bei Teleskopprothesen handelt es sich um eine der bestmöglichen Prothesenarten. Zu diesem Zweck werden auf einigen, oder aber auch auf allen verbliebenen Zähne spezielle Kronen aus Metall, in der Regel aus Gold befestigt - die sogenannten Teleskop- oder Konuskronen. In der Prothese befindet sich nun das entsprechende Gegenstück. Die Prothese wird nun auf die Zähne gesetzt in passt im wahrsten Sinne des Wortes wie angegossen.

Natürlich ist die Prothese herausnehmbar, z.B. zum Reinigen, aber ansonsten sitzt sie fest, "fast" wie die eigenen Zähne im Mund und ermöglicht einen erheblichen Kaukomfort bei einer guten Ästhetik.


Hendrik Gielicke Zahnarzt

Hendrik Gielicke
Zahnarzt

Kontakt
Telefon: 06051 61 95 95
Gern erreichen Sie uns auch
per Email
oder über Whatsapp
So finden Sie uns
Leipziger Str. 17
63584 Gründau-Lieblos

Hier erhalten Sie eine Wegbeschreibung
Notdienst
In sehr dringenden Notfällen erreichen Sie außerhalb der Praxisöffnungszeiten den zahnärztlichen Notdienst unter der Servicenummer
01805-607011*
 
* 14 Cent/Minute aus dem deutschen Festnetz und maximal 42 Cent/Minute aus dem deutschen Mobilfunknetz

Online können Sie den zahnärztlichen Notdienst auch hier abfragen.